
先天性马蹄内翻足

发育性髋关节脱位

双下肢多发畸形

先天性胫骨假关节

小儿麻痹后遗症马蹄内翻畸形

先天性垂直距骨
部分展示
我科是区内少数能开展手术治疗发育性髋关节的科室,能运用髋人字石膏外固定,Salter、Pemberton髋骨截骨等治疗发育性髋关节脱位,技术达到区内领先水平,在国内享有较高的声誉。

右髋关节发育性脱经髋人类位石膏外固定保守治疗,保守治疗后随访5年股骨头与髋臼匹配无再脱位,股骨头发育良好,无坏死。

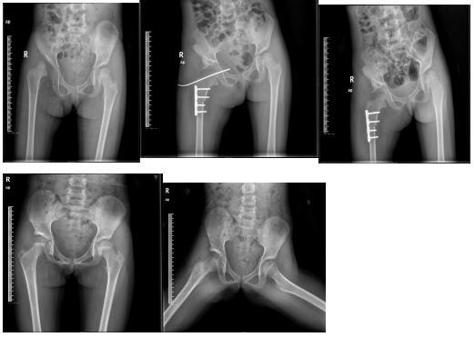
右髋关节发育性脱位行Pemberton髋骨截骨,股骨短缩旋转术后随访5年,股骨头与髋臼发育良好。

小儿马蹄内翻足通过系列潘塞缇石膏完全矫正

先天性胫内翻畸形在我科经Ilizarov外固定支架矫形及胫骨延长后,畸形矫正,双下肢等长功能良好。
利用Ilizarov外固定支架矫正大龄马蹄内翻足
外伤性外踝缺损伴踝外翻 使支架后用俄罗斯外固定支架治疗后恢复正常。