• 咨询热线
  • 0775-2824515
  • 出诊电话
  • 0775-2837100
    0775-2200000

就医指南

实景导航

出诊电话

0775-2837100 0775-2200000

官方微信

TOP
3D打印显神通,精准修复膝关节——我院膝关节病与运动损伤科成功救治56岁胫骨平台粉碎性骨折患者
发布日期: 2026-03-20浏览次数:15玉林市中西医结合骨科医院

当严重的粉碎性关节骨折遇上数字化医疗,会发生怎样的化学反应?近日,玉林市中西医结合骨科医院膝关节病与运动损伤科联合医学3D打印临床中心,成功实施了一例高难度左胫骨平台粉碎性骨折修复手术。通过1:1的骨骼复刻模型,医生团队在术前就对骨折分离移位“了如指掌”,为患者带来了真正的个性化、精准化治疗。

病例回顾:突如其来的粉碎性骨折

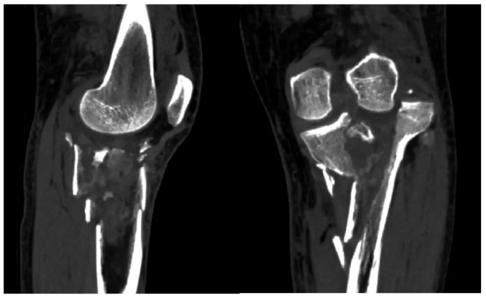
56岁的樊女士怎么也没想到,一次意外竟让她的左膝遭遇了如此严重的创伤。入院时影像检查结果触目惊心:左胫骨上段及胫骨平台粉碎性骨折,伴有股胫关节失稳。胫骨平台是膝关节重要的负重结构,粉碎性骨折后关节面平整度直接决定术后膝关节功能恢复情况,若复位不佳、固定不稳,极易引发创伤性关节炎、关节僵硬、行走疼痛、跛行等终身后遗症,严重影响中老年患者生活质量。

面对这样复杂的伤情,传统的读片方式面临巨大挑战。为了让手术方案“万无一失”,膝关节病与运动损伤科团队立即决定启动多学科协作机制。

技术亮剑:1:1复刻,让骨折部位无处遁形


在科主任黄丽雄的带领下,膝关节病与运动损伤科团队与我院医学3D打印临床中心数字化医疗平台紧密合作,完成了一项至关重要的术前准备 —— 对樊女士的患膝进行了1:1比例的骨骼完美复刻。

精准诊断:肉眼可见,左胫骨上段及胫骨平台呈粉碎性骨性结构中断,骨块分离情况严重;

关节评估:关节面粉碎骨折,关节面塌陷,外侧关节面向外上脱位,内侧关节面出现明显倾斜。


以前只能在电脑屏幕上通过二维或三维重建图像去想象,现在有了这个1:1的实体模型,就像是拿着‘破碎的瓷器’在拼图。通过实体模型,团队可以进行模拟手术,预演螺钉的进钉点、角度和长度,极大地提高了手术的精准度和安全性。

专业解读:数字化如何赋能膝关节手术

针对樊女士“关节面粉碎性骨折”、“关节脱位失稳”的复杂情况,黄丽雄主任指出,膝关节是人体最复杂、负重最大的关节之一。对于胫骨平台骨折,治疗的黄金标准是恢复关节面的平整与稳定。

如果依靠传统经验,面对如此多的骨碎片,稍有不慎就会导致术后创伤性关节炎,影响患者未来的行走功能。

而在3D打印技术的加持下,手术实现了三大突破:

1.术前规划可视化:医生在模型上直接规划截骨与复位顺序。

2.术中操作精准化:预先将钢板塑形,贴合患者独特的骨骼形态,缩短了手术时间,减少了出血。

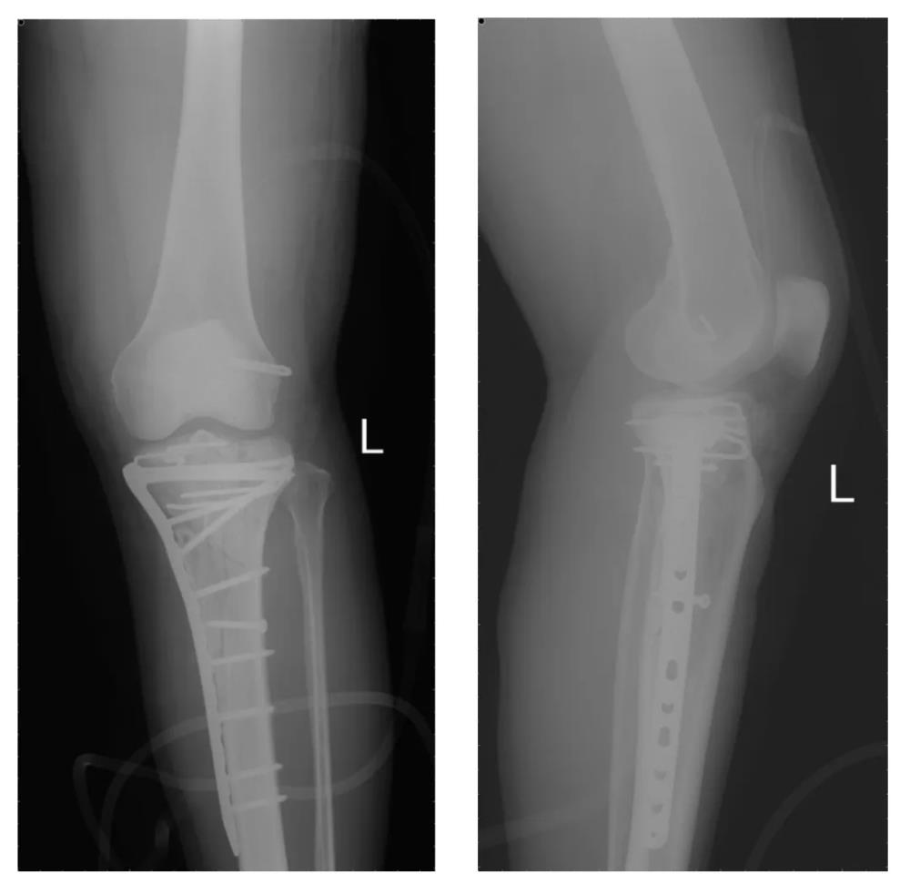
3.术后结果最优化:确保股骨外髁与胫骨平台达到最佳的匹配度,重建关节稳定性。

科室实力:不只是手术,更是对运动功能的守护

术后,樊女士的骨折端得到了完美复位,关节面的塌陷得到了恢复,为后期康复奠定了坚实的基础。


作为我院的重点学科,膝关节病与运动损伤科始终致力于膝关节损伤与退变性疾病的微创化、精准化治疗。此次与3D打印临床中心的强强联合,不仅展现了我院处理复杂粉碎性骨折的硬核实力,更标志着我们在 “数字化、个性化、精准化” 的骨科诊疗道路上迈出了坚实的一步。

在这里,每一块碎骨都不被忽视,每一次修复都为了患者更好的奔跑。

医学3D临床打印中心:该中心的成立标志着医院在精准骨科诊疗领域迈上新台阶。通过将患者CT/MRI数据转化为1:1实体模型,为复杂骨折、畸形矫正等高风险手术提供“可视化”决策支持,大幅提升手术规划精准度、预见性和安全性,是攻坚骨科疑难病例的有力武器。

膝关节病与运动损伤科优势:科室团队在深耕膝关节损伤修复领域,拥有处理各类复杂骨折、韧带损伤、半月板损伤、运动创伤的丰富经验和技术储备,为中老年群体及运动爱好者的膝关节健康保驾护航。

膝关节病与运动损伤科科室简介

玉林市中西医结合骨科医院膝关节病与运动损伤科是广西壮族自治区中医药管理局重点建设学科,学科以“微创、阶梯、精准”为核心理念,深度融合中西医技术手段,在复杂膝部骨折脱位、膝骨性关节炎阶梯性治疗、半月板损伤、前后交叉韧带及侧副韧带损伤、关节滑膜炎、膝关节置换与翻修术等关键领域积累了深厚临床经验,诊疗技术先进,病员数量、技术难度及服务质量均位居广西地区前列。

科室以唐继仁院长为学科带头人,黄丽雄主任医师主持全面工作,团队结构精干高效,拥有主任医师2名、副主任医师3名、主治医师3名、住院医师2名及护理骨干20余人。全员接受国内外前沿技术专业培训,熟练掌握关节镜微创技术。科室配备美国施乐辉与Arthrex关节镜等设备,持续攻坚关键技术,率先在广西开展膝肘踝关节镜微创手术,突破多项技术壁垒。

近年来,科室荣获“玉林市中医运动医学医疗质量控制中心”及“玉林市中医重点专科”授牌,2024年获批北京大学第三医院运动医学专科医联体理事单位,获评医院“先进科室”,1人获尼日尔荣誉勋章。承担区市级科研项目5项,发表核心期刊论文15篇。团队始终践行“中西合璧,厚德精医”院训,以患者为中心,精进技术、优化服务,推动保膝治疗与快速康复实践,为区域骨科诊疗树立标杆,切实履行“除患者病痛,扬玉林骨科”宗旨。


医学3D打印临床中心简介

玉林市中西医结合骨科医院3D打印临床中心成立于2018年,配置数台桌面级、工业级大型3D打印机及手持式扫描仪,在软件配置方面,医学影像处理系列配备有:Frontier医学影像处理科研平台,Mimics Medical;模型设计系列:Materialise Magics,3-matic Medical,Geomagic Design X,Rhinoceros,Zbrush,maya,solidworks等;3D打印机软件:Bambu Studio,Cura,FlashPrint,Simplify 3D等。

中心专注于提供先进的数字化医疗服务,重点研究个体化3D模型的重建技术及个体化3D模型、个体化手术导板、康复辅具的制备等方面的应用,将最新技术应用于临床实践,实现不同患者个体化医疗,以求提高临床治疗效果和患者满意度,提升疑难复杂病例医疗服务质量。目前已开展的3D打印技术相关科研项目20多项,其中《基于3D打印骨科康复支具制作技术开发与应用》项目获2023年广西科学技术进步奖三等奖、并获2021年广西医药卫生适宜技术推广奖三等奖;《3D打印技术在骨科模型与手术导板设计及临床应用基础研究》项目获2022年广西医药卫生适宜技术推广奖三等奖;《复杂骨盆髋臼骨折的3D打印辅助》项目获2023年第五届医学3D打印技术与临床应用全国创新大赛三等奖;先后获授权“一种基于胫骨近端骨折复位的3D打印装置”“一种可调角度的截骨导板”“一种用于踝部骨折术后康复支具”“一种用于前臂骨折术后骨折康复支具用3D打印装置”等11项专利。

本中心以临床需求为导向、快速实现临床转化为宗旨,持续致力于临床医学与3D打印技术相结合的研究应用与推广,积极与各级医疗机构寻合作、谋发展,提供集科研、教学、临床应用于一体的综合性平台,承接各类临床科研成果转化应用项目,推动3D打印技术在医疗领域的创新与发展,使医学研究成果能够更多地惠及百姓,为玉林市乃至周边地区的医疗科研事业注入新的活力。