• 咨询热线
  • 0775-2824515
  • 出诊电话
  • 0775-2837100
    0775-2200000

就医指南

实景导航

出诊电话

0775-2837100 0775-2200000

官方微信

TOP
3D打印科技赋能,重燃患者行走希望—— 玉林市中西医结合骨科医院成功救治一例高难度陈旧性胫骨平台骨折患者
发布日期: 2025-08-19浏览次数:1048玉林市中西医结合骨科医院

三个月前一次意外的骑车摔倒,致患者罗某右膝肿痛、畸形,无法行走。患者当时心存侥幸,没有手术治疗,转眼3个月过去了,看着畸形疼痛的膝盖,仍不能站立及行走。让心思细腻的柳州青年罗某(化名)陷入了漫长的痛苦与绝望。辗转多家医院,得到的却总是“骨折复杂,且已畸形愈合,手术难度太大、风险过高,疗效不确定”的无奈答复。当希望之光几乎熄灭之际,玉林市中西医结合骨科医院膝关节病与运动损伤科团队凭借精湛技术与创新科技,助他重新点亮了“站起来”的希望。
罗某的求医之路充满坎坷:受伤初期因对伤情认识不足选择保守治疗,导致右胫骨平台粉碎性骨折畸形愈合,关节面不平整,导致疼痛,畸形,无法站立及行走。辗转多家医院,均因手术复杂程度使其望而却步。身心备受煎熬的罗某几乎失去信心,甚至准备远赴外省求医。


转机出现在亲友的推荐下。罗某抱着一丝希望,跨越三小时路程,从柳州来到玉林市中西医结合骨科医院,慕名求诊于膝关节病与运动损伤科朱博副主任医师。经朱博医师细致检查,确诊为“右胫骨平台陈旧性粉碎性骨折”,骨折端粉碎严重,移位明显,关节面塌陷,且已畸形愈合,手术难度极大。


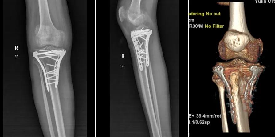
面对挑战,膝关节病与运动损伤科科主任黄丽雄所带领的膝关节运动与损伤科团队并未退缩,手术团队充分利用医院的3D临床打印中心”。这一创新平台,为罗某实施了个性化术前规划:将膝关节CT扫描数据导入软件,启动建立膝关节模板,使用MultipleSliceEdit模组编辑像素合集,对骨折块进行提取、分割及着色并转换为三维模型。在3D 对象窗口下,观察骨折的塌陷情况、移位距离及旋转角度,使用移动和旋转功能对各个骨块进行移动复位,将虚拟复位前、后的三维模型保存,经3D打印机等比例精准3D打印复制出患者受损的胫骨平台模型。这一技术犹如赋予医生一双“透视眼”,骨折线的走向、碎骨块的位移形态、关节面塌陷的程度等复杂情况在模型上清晰直观、一目了然。


依托这具高仿真模型,经科内严密讨论,反复推敲,最终确定了“膝内侧、外侧入路三钢板固定+植骨”的精密手术方案。这一清晰的规划,瞬间驱散了罗某心中积压已久的阴霾,使其重燃站立希望。
手术当日,作为主刀的朱博副主任医师,凭借精细入微的操作和手术团队的高效协作,这台被视为“极高难度”的手术一气呵成,仅历时两小时便顺利完成。术后,朱博副主任及主管卜庭用医师对罗某的康复极为重视,亲自指导其进行系统性的膝关节功能康复训练。
在科室医护人员的精心治疗与照护下,罗某恢复迅速:复查片显示骨折对位对线良好,关节面平整,膝关节疼痛显著缓解,关节活动度大幅改善。久违的笑容终于回到他的脸上:“是玉林市中西医结合骨科医院的专家们,给了我重新站起来的机会!手术技术太强了,感谢朱主任、卜医生和所有医护人员!”


技术点睛

医学3D临床打印中心: 该中心的成立标志着医院在精准骨科诊疗领域迈上新台阶。通过将患者CT/MRI数据转化为1:1实体模型,为复杂骨折、畸形矫正等高风险手术提供“可视化”决策支持,大幅提升手术规划精准度、预见性和安全性,是攻坚骨科疑难病例的有力武器。
膝关节病与运动损伤科优势: 科室团队在深耕膝关节损伤修复领域,拥有处理各类复杂骨折、韧带损伤、运动创伤的丰富经验和先进技术储备。

朱博副主任感言:罗先生的病例极具挑战性,胫骨平台粉碎性骨折,属Schatzker Ⅴ型,过伸内翻型胫骨平台双髁骨折,即使新鲜骨折手术难度就较大,加之外伤后3个多月,骨折已畸形愈合,手术难上加难。是三维CT及3D打印技术带来的‘术前透视’能力与团队多年积累的临床经验相结合,才创造了这次成功。我们将持续探索创新技术应用,以更精准、更微创、更高效的方式,守护每一位骨伤患者重新站立的权利。


玉林市中西医结合骨科医院膝关节病与运动损伤科始终秉承“中西合璧,厚德精医”的宗旨,致力于融合中西医精髓,引入前沿科技,为区域内外患者提供高水平、人性化的骨科诊疗服务。