• 咨询热线
  • 0775-2824515
  • 出诊电话
  • 0775-2837100
    0775-2200000

就医指南

实景导航

出诊电话

0775-2837100 0775-2200000

官方微信

TOP
精准微创,重塑“膝”望——膝骨关节炎治疗有新方
发布日期: 2025-03-14浏览次数:2436玉林市中西医结合骨科医院

膝骨关节炎是一种常见的关节疾病,尤其好发于中老年人,缓解疼痛,减轻炎症,改善关节功能,延缓疾病进展是治疗的目的和方向。近日,玉林市中西医结合骨科医院膝关节外科团队成功完成一例双间室单髁置换术(BI-UKA),标志着我院在膝关节骨性关节炎的阶梯化治疗领域取得重大突破。此次手术采用国际先进的微创保膝技术,针对膝关节内外双间室病变患者,通过对膝关节的内外两个间室进行表面置换的手术。精准修复受损关节面,最大程度保留患者膝关节正常结构与功能,使患者术后保留良好的本体感觉,为复杂膝关节炎患者提供了更优解决方案。

70岁的男性患者双侧膝关节疼痛5年,平常连走路都困难。经检查发现左侧膝盖内外侧软骨严重磨损。经评估,所幸前后交叉、内外侧副韧带结构完整,如何让该患者“精准治疗”(只针对磨损部位修复)?医院膝关节外科团队与影像科、麻醉科等多学科专家联合讨论,为其精心制定治疗方案,决定给该患者实施双间室单髁置换术。术后第二日即实现下地行走,关节活动度达120°以上,患者生活质量得到显著提升。


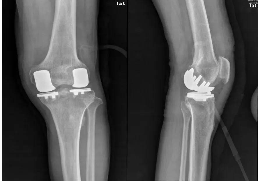
※术前


※术后


※患者术后早期下地负重行走及膝关节屈曲达到120°以上


※出院前无需助行器保护下行走、膝关节主动活动好

双间室单髁置换术(BI-UKA)新技术好在哪

1. 精准微创,损伤小。

双间室单髁置换术通过小切口精准定位,仅替换病变的股骨髁和胫骨平台,不伤及患者健康组织和韧带,本体感觉好,术后膝关节运动学更接近生理状态,患者可快速恢复行走能力,术后次日即可下地活动,膝盖活动灵活,更加接近正常状态。

与传统全膝关节置换(TKA)相比,该技术具有切口小、创伤小、出血少(术中出血量低至50ml)、康复快等显著优势。

2. 填补阶梯化治疗的空白

双间室置换的开展,进一步扩大了保膝治疗的适用范围,尤其适用于膝关节内侧和外侧同时受损的中重度骨关节炎患者,现在新技术能同时修复内外两侧磨损,避免了“整个膝盖换掉”的风险。

3.保留生理功能,恢复快

术后膝关节运动学更接近生理状态,患者可快速恢复行走能力,术后次日即可下地活动,膝盖活动灵活,更加接近正常状态。


技术优势与社会意义

1、不用“一刀切”:根据病情轻重,提供从药物、理疗到微创手术的阶梯治疗方案,必要时再手术,针对局部具体病变部位精准治疗。

2、省钱省心:恢复快、并发症少,减少长期治疗费用。

3、区域医疗水平提升:该技术的成功开展,为复杂膝关节疾病微创治疗提供了更优选择。

专家团队与未来展望

膝关节外科由唐继仁院长、黄宗权副院长、温超海科室负责人等资深专家领衔,擅长微创保膝手术、关节置换和术后康复,已帮助众多膝关节病患者重获行走自由。

团队长期深耕微创骨科领域,已成熟开展各种膝关节周围截骨矫形及单髁置换、全膝置换以及全膝关节翻修术等技术。未来,科室将深化与区内外顶尖医院的合作,引入智能化手术导航系统,进一步推动精准医疗与快速康复的融合,为更多膝骨关节疾病患者带来福音。

咨询与预约

出诊地点:膝关节外科诊室(保膝门诊)

接诊时间:周一至周六全天

预约电话:0775-2369120(膝关节外科)