• 咨询热线
  • 0775-2824515
  • 出诊电话
  • 0775-2837100
    0775-2200000

就医指南

实景导航

出诊电话

0775-2837100 0775-2200000

官方微信

TOP
喜讯!我院膝关节外科在全国单髁大赛中获奖
发布日期: 2025-01-10浏览次数:920玉林市中西医结合骨科医院

1月3日“新'膝'望第五届单髁临床知识与技能大赛"决赛在北京圆满落幕,我院膝关节外科负责人温超海获优秀奖。

本次大赛的举办,旨在宣传和推广骨科“保膝”治疗理念与技术,提高我国骨科医生的单髁置换技术水平,帮助青年医师开拓视野、提高临床技能。此次大赛汇聚了来自全国各地的骨科精英,竞争相当激烈。



我院膝关节外科在医院领导的带领下,不断钻研、推广保膝理念,力求让更多的膝关节病患者受益。本次比赛的获奖,充分展现了我院膝关节外科团队追求卓越、务实奋进的精神风貌,以及丰富的理论功底和较强的临床实践水平。


我院设置了保膝专科门诊,为广大膝骨关节炎患者提供专业的诊疗服务。

什么是膝关节单髁置换术?

膝关节单髁置换术是膝关节骨性关节炎患者的精准医疗中的个性化治疗技术,是保膝手术治疗的一种。在老年性膝关节骨关节病中后期,只对磨坏的一半关节表面进行置换,称为单髁置换。膝关节骨关节病早期是以保守治疗为主,中后期采取保膝手术,终末期则以全膝关节置换手术为主。

膝关节单髁置换术有哪些优点?

(1)微创手术,康复快:术中截骨量更少,出血少、感染率更低,住院时间更短;

(2)良好的术后功能:术中减少软组织损伤,术后患者可以获得更好的活动度;

(3)术后满意度更高:接近正常的本体感觉,让患者更容易“遗忘”自己曾做过置换手术。



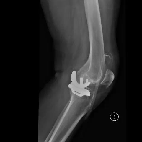
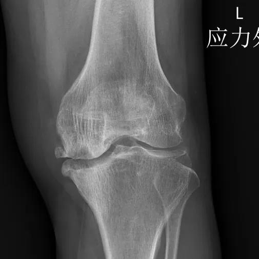
▲术前


▲术后

未来,我院膝关节外科团队将继续加强科研团队建设和人才培养,进一步推动我院骨科保膝事业的发展。我们将继续秉承医者仁心的宗旨,以更加精湛的医术和更加贴心的服务,为广大膝关节病患者的健康保驾护航。

膝关节外科简介

膝关节外科技术力量雄厚,科室团队配备医护人员30人,其中主任医师5名,副主任医师2名,主治医师2名,住院医师4名,硕士研究生4名。开放床位48张,同时设置有专门的膝关节外科门诊(第十诊室),出诊时间:周一至周五8:30-17:30,周六08:00-12:00,咨询电话:0775-2369120。

我科擅长膝关节创伤骨折的诊疗、膝骨关节炎阶梯化治疗,对膝关节微创单髁置换术、膝关节周围截骨保膝手术、全膝关节置换术、膝关节置换术后假体翻修术具有丰富的经验,同时开展髋关节微创置换手术,坚持微创、无痛、快速康复的理念。

对膝关节骨性关节炎采取阶梯化治疗方案,坚持中西并重、内外兼治的原则,取得满意的治疗效果。早期利用中医中药的传统优势,使用中医外治法,例如烫熨治疗、中药涂擦、雷火灸、中药塌渍等,同时辩证内服本院中药制剂及内服方药以及配合西药治疗,开展健康教育,运用运动疗法、物理治疗等辅助支持;中期开展软骨修复、截骨术、单髁置换术、髌股关节置换术等;对于终末期的膝关节OA采用全膝关节置换术。