黄宗权
主任医师 副院长
膝关节外科技术力量雄厚,科室配备医护人员30人,其中,主任医师5名,副主任医师3名,主治医师3名,住院医师4名,博士1名,硕士研究生4名。开放床位48张。
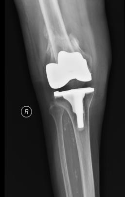
该科擅长对膝关节严重创伤(包括股骨远端骨折、髌骨骨折、胫骨平台骨折等)、膝骨关节炎阶梯化治疗、保膝治疗、膝关节微创单髁置换术、全膝关节置换术、膝关节翻修术具有丰富的临床诊疗经验,追求微创、无痛、快速康复。
对膝关节骨性关节炎采取阶梯化治疗方案,坚持中西并重、内外兼治的原则,取得满意的治疗效果。早期利用中医中药的传统优势,使用中医外治法,例如烫熨治疗、中药涂擦、雷火灸、中药塌渍等,同时辩证内服本院中药制剂及内服方药以及配合西药治疗,开展健康教育,运用运动疗法、物理治疗等辅助支持;中期开展软骨修复、截骨术、单髁置换术、髌股关节置换术等;对于终末期的膝关节OA采用全膝关节置换术。

膝骨关节炎的中医中药特色治疗
雷火灸 烫熨治疗
中药塌渍 穴位贴敷
针刺疗法 中药泥灸
中药制剂
住院楼20楼西面