广西壮族自治区玉林市玉州区文体北路70号
0775-2837100
0775-2200000
首页
医院概况
医院资讯
就医指南
医院特色
专家团队
科室导航
健康科普
信息公告
党群建设
科研科教
微创治疗各种创伤骨折
浏览量:3197次
发布时间:2022-02-11
微创治疗各种创伤骨折,创伤小,恢复快。
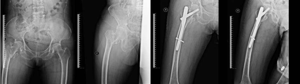
右股骨粗隆间骨折,行微创闭合复位PFNA髓内钉内固定治疗。
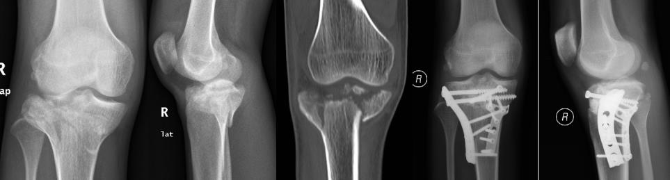
同一患者右胫骨平台骨折及左股骨长段骨折。微创复位内固定治疗,术后3周关节活动功能已恢复正常。
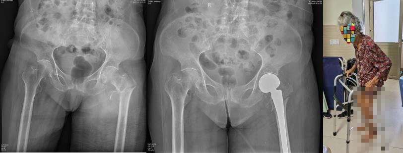
老年粗隆部骨折,行半髋关节置换重建,实现早期离床下地活动,避免长期卧床造成的各类并发症。图为96岁的患者,术后第一天即可离床活动。
首页
就医
门诊挂号
服务中心
就医指南
健康科普
实景导航
科室
科室导航
专家团队
我们
医院资讯
医院概况
医院特色
信息公告
党群建设
科研科教