上颈椎外科技术

浏览量:3479次
发布时间:2022-02-08
上颈椎是头部和躯干的连接枢纽及重要的解剖部位,与延髓生命中枢、椎基底动脉、颈内动脉、咽喉、食道等重要结构相比邻,在解剖结构、生理功能、疾病的发生发展及诊断和治疗方面与下颈椎相比均存在明显的差别。由于上颈椎在解剖上的特殊性,该部位的外科治疗具有很大的潜在危险,严重者可导致瘫痪,甚至危及生命,故以外该部位常被称为骨科手术的“危险区”或“禁区”。上颈椎方面创伤及病损漏诊率相当较高,随着近年影响检查手段增加及医生对上颈椎方面的认识提高,近年来我科在上颈椎创伤和病损手术治疗方面做出了许多创新性工作,使寰枢椎骨折脱位和肿瘤等疑难复杂的临床治疗效果得到很大的提高,开展了微创齿状突空心螺钉固定颈2齿状突骨折、后路寰枢椎椎弓根螺钉复位固定等技术,取得良好的效果。

典型病例


病例1  寰椎陈旧性旋转脱位,后路寰枢椎椎弓根螺钉复位融合术。


患儿8岁10月,女性,寰枢椎陈旧性旋转脱位。

患儿入院时头颈歪斜畸形,旋转活动受限明显




患儿术后头颈歪斜畸形即刻恢复正常,四肢肌力、感觉正常。


术前患儿头颈部歪斜畸形,术后头颈部恢复中立位。



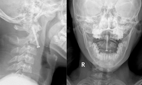
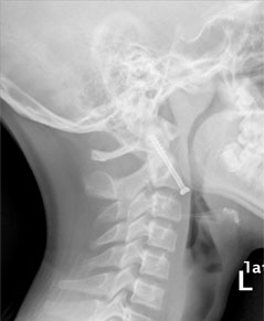
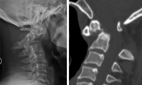
病例2  颈2齿状突骨折前路空心螺钉内固定术。

患者13岁,男性,颈2齿状突骨折。

患者受伤后2天入院,入院时四肢肌力2-3级

术后第3天

术后3个月,骨折愈合,患者四肢肌力恢复正常。


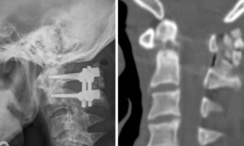
病例3  颈2齿状突陈旧性骨折并寰椎脱位,后路寰枢椎椎弓根螺钉复位固定融合术。

患者56岁,男性,颈2齿状突陈旧性骨折并寰椎脱位。

患者颈部外伤后2年入院,四肢肌力、感觉正常。

术后寰枢椎即可复位,术后患者四肢肌力、感觉正常。

术中使用电钻寰椎置钉道

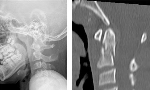
病例4  寰枢椎复合骨折,后路颈1-3椎弓根螺钉复位固定术。

患者17岁,男性, 寰枢椎复合骨折并脱位。

患者受伤2天入院,四肢肌力正常。

患者术后四肢肌力正常,术后骨折解剖复位。


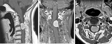
病例5  颈2.3水平椎管内肿瘤,后路减压固定肿瘤摘除术。

患者73岁,女性,颈2、3水平椎管内肿瘤。

患者术前四肢麻痛、乏力,四肢肌力4级。

患者术后四肢麻痛逐渐缓解,术后3个月四肢肌力恢复正常。